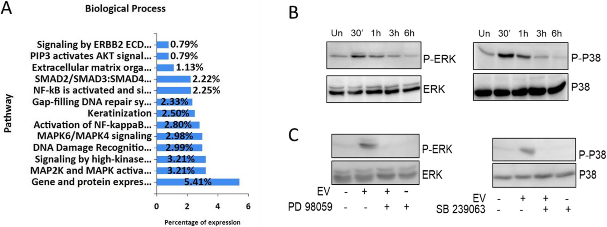
Fig. 3

Biological process pathway of HaCaT-derived EVs (a). Classification of HaCaT EV proteins by biological process pathway from the proteomic analysis (b). Western blotting indicating the expression of P-ERK1/2, ERK1/2, P-P38, and P38 by HaCaT cells after incubation with 2.5 μg/ml EVs for 30 min, 1 h, 3 h, and 6 h. c HaCaT cells were exposed to 2.5 μg/ml EVs for 30 min in the absence or presence of 10 μM SB239063 or 10 μM PD98059